

| 治療前 | 治療後 |
|---|---|
![]() |
![]() |
※医療従事者の方などに向けて、詳しい経過を掲載しております。
治療の経過写真には一部グロテスクなものもございますので、ご覧になる際はご注意ください。
| コメント | 画像 |
|---|---|
| 舌のしこりを悪性の腫瘍ができたのではと、とても心配して来院されました。視診、触診、経過等の問診から悪性の可能性はとても低いと思われました。臨床的な印象では良性線維腫。それでも、特殊な軟部腫瘍が口腔内にもできる例や、非常に希ですが他の部位の悪性腫瘍の転移病巣の可能性も念頭に置き、全摘して病理組織診断による確定が必要とお話しました。 | ![]() |
| 当院での摘出と医科検査所での病理組織検査を希望されましたので、歯科用局所麻酔の下、一塊に摘出しました。軟組織の処置のスムースな進行は、層を確認できる術野を確保してくれるアシスト(助手)の技術があって可能になります。声も聞こえます。患者さんの不安な心を支える声かけは技術以上に大切です。 | ![]() |
| 筋肉への浸潤などは見られませんでした。摘出した腫瘍です。 | ![]() |
| 摘出によってできた創を細めのナイロン糸で縫合します。舌はよく動くので、深くつかみ、動いてもほどけないような結び方をしてします。 | ![]() |
| 術後の痛みはほとんどありません。2週間ほどで硬い感じも消え、手術のあとはほとんど目立ちません。 病理診断は良性の線維腫でした。 |
![]() |
| 治療前 | 治療後 |
|---|---|
![]() |
![]() |
※医療従事者の方などに向けて、詳しい経過を掲載しております。
治療の経過写真には一部グロテスクなものもございますので、ご覧になる際はご注意ください。
| コメント | 画像 |
|---|---|
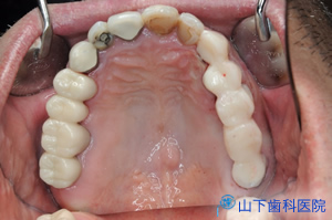
| 「入れ歯」では思うように噛めず、気持ち悪い。前歯で噛んでいるがぐらぐらしてきた。 残る歯もすっきりしない所が多々あり、今後に不安を抱えて来院されました。 |
![]() |
| 初診時のレントゲン写真です。 | ![]() |
| 上下の奥歯が咬み合うことで決まる咬合が不安定で、下の前歯が上の前歯を突き上げています。 予知性がない右下、左上の4番目を抜歯して落ち着いた状態です。 |
![]() |
| 奥歯の沈み込みを抑えて前歯の崩壊を防ぎ、インプラントを埋入した部位の粘膜の損傷を和らげ、治療中もそれなりに噛む工夫をこらした「入れ歯」を作りました。 | ![]() |
| 左下の小臼歯全体に乗っかるキャップクラスプで沈下を止め、その後方は床を付けずに土手から浮かせることで、インプラント埋入部の創を保護します。 右は後方の親知らずを沈み込みのストッパーに使えるので床は付けていますが、土手からは浮かせます。 |
![]() |
| これだけの準備ののちインプラント(ブローネマルク)を埋入。骨が足らない所は同一術野の周辺骨を採取、移植します。足らない粘膜骨膜を十分伸ばして閉した創が開かないことが重要です。 条件に恵まれた右下大臼歯部は1回法とし、仮義歯の沈下をこれが抑えることで骨移植部の創を確実に保護させることにしました。 |
![]() |
| 左上4番目にもインプラント(リプレイスセレクトテーパード)を埋入。 奥の銀歯はやり直す必要があり、そのやり直し分も考慮した位置に埋めています。 |
![]() |
| 下顎のインプラントは頭出しをした後に、マルチユニットアバットメントと呼ぶ粘膜貫通部の閉鎖保護機能に優れる既成アバットメントを取り付けました。 現在残っている前方部の歯が将来すべて失われても、あとインプラントを1~2本追加するだけでフルブリッジに移行できます。 |
![]() |
| 下顎はネジ止め固定式の上部構造体インプラントブリッジ(人工歯冠)を作製。 | ![]() |
| 上顎はチタン製カスタムアバットメントにセメント固着するジルコニア製人工歯冠。 当時は、咬み合せ面内にねじ穴を納めさせるピンポイント埋入技術に今ほど長けていなかったため、セメント固着タイプになりました。 |
![]() |
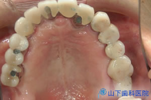
| 咬み合せの状態がよく、左右均等に何でも噛めて、不安なくなり、体調もよくなったとご満足頂いています。 | ![]() ![]() |
| 前歯のブリッジは、下から付き上げを食らわず、ぐらつかなくなりました。露出した歯根をコンポジットレジンでマスキングして経過を診ています。 | ![]() |
| 5年経過後のレントゲン写真です。 | ![]() |
| 治療前 | 治療後 |
|---|---|
![]() |
![]() |
※医療従事者の方などに向けて、詳しい経過を掲載しております。
治療の経過写真には一部グロテスクなものもございますので、ご覧になる際はご注意ください。
アメリカ在住20年になる57歳の日本人男性。自分の状態を理解してくれて、納得のいく説明の上、インプラントを使わないで最善を尽くし、できるだけ長く持つ綺麗な歯とスマイルを取り戻したいとの御希望でした。
| コメント | 画像 |
|---|---|
| 初診時正面観 すでに抜歯された部分は前後の歯を削って冠を被せるブリッジ、それができない最後臼歯の欠損は放置、それ以外に残るすべての歯に何らかの治療がなされています。保険の銀歯もあれば、保険が効かないセラミックで化粧した金属冠のメタルボンド(さし歯)もあり、 プラスチックの詰めもの(コンポジットレジン)はどれも茶色く変色しています。 |
![]() |
| 初診時上顎咬合面観 | ![]() |
| 初診時下顎咬合面観 治療は下顎から開始しました。銀歯を外し、根の治療状態に不安があれば再治療しました。 歯髄を失った根の治療は、最善を尽くしても、もともとの歯髄の再生、つまりは血の巡りを再建できないので治らないとお話しました。歯髄が生きている歯でないと長く持つ保証はできません。 血の巡りを失わらせた場での弱毒型常在菌バイオフィルム感染症は場ごと取り去らないかぎり治癒しない、免疫的排除が働かないために完治しない、この点では強毒型ウイルス感染症が激しい全身症状を引き起こして死亡することもあるが、治れば完治して免疫記憶に刻まれるのとは違う厄介さがあります。 根の中への再感染を防ぎ、歯髄を失ったために弱体化する歯質を補強するためには、接着歯学に基づいた土台建て(接着支台築造)を行うことが、現実にできる最善の策です。すべての土台をこの方法で建て直しました。 下顎の左右臼歯部の理想的な咬み合せ面を作るべく、割れないセラミックと言われているイットリウム安定化酸化ジルコニウムを素材にしたブリッジ、単独冠(クラウン)修復をドイツ人技工士が開発したZirkonzahn社のシステムの改良版で行いました。 |
![]() |
| 右下最後臼歯は抜けたままです。この部位にインプラントを入れて下顎の咬合面を最後臼歯に至るまで完全に左右対称にしておくと、しっかり咬める修復によって蘇る大きな咬む力が前後左右に均等分散され、力の集中による歯の喪失トラブルを最小限に抑えられるメリットが大きいのですが、それは希望されませんでした。 上顎はこの下顎に作った咬み合せ面に合わせて再構築していくことになります。 臼歯で決まる咬み合せの高さが低くなっている場合、その高さを挙げて若い時の状態に戻すことを、前歯の修復より先に行うのが高度な審美回復を成功させるキーポイントです。そうすることで上顎の前歯全体の歯軸をやや内側に倒すことが可能になります。出っ歯傾向が少なくなると鼻と唇と下顎の先を結ぶ審美ラインが理想に近づき、ほうれい線も目立ちにくくなって若返り、歯だけでなく顔貌プロフィールがダイナミックに改善します。 とりあえず前歯の茶色く変色した詰め物を削って、透明感のある詰め物で修正してから、奥歯の咬み合せをどのくらい挙げると前歯部の上下にどのくらいの隙間ができてくるか、検討しているところです。 |
![]() |
| 上顎臼歯部にイットリウム安定化酸化ジルコニウムのブリッジを作る際は、まず、精密な型取り、咬み合せ取りを行って起こした作業模型上で歯科技工士が想定の咬合挙上量に合わせてレジン製のモックアップ仮ブリッジを作ります。 歯科医師はこのモックを患者さんの口腔内に入れて、適合性、清掃性、隣の歯とのコンタクト、歯の無い部分に作る人工歯の歯肉への接触程度、食べ物を噛んですりつぶす際の顎の運動にマッチする咬み合せなどをチェックし、必要な調整を行います。 |
![]() |
| レジン製のモックは削ったり足したりが容易にできます。
臼歯部全体に必要な咬合挙上量を得てから、患者さんが顎を動かすことでモック上に顎運動にマッチする咬合面形態が作られるよう誘導しているところです。 ピンク色のレジンは歯科医師が口腔内で足したものです。 このように歯科医師が患者さんの口腔内でモックを調整し、これでOKとしたモックを歯科技工士に戻します。 歯科技工士はこの調整されたモックを立体的に読み込んで、半焼結の軟らかいジルコニアブロックから同じ形になるものを削り出し加工します。 |
![]() ![]() |
| 精密な削り出し加工は柔らかな半焼結状態のジルコニアでないと不可能です。削り出された物の硬度を増すために高温で焼結すると20%の体積収縮が起こります。そこで、ひな形よりも均一に25%大きいものを削り出し、最終焼結で正確に20%収縮すれば、理論上100x1.25x0.8=100となり、モックと同じ形と大きさをしたジルコニア修復物が得られます。そうした正確な体積変化をとる素材と焼結システムを開発したドイツ人歯科技工マイスターがイタリアで起業したジルコニア修復に特化したのがZirkonzahn社です。 この会社は、アナログのモックの代わりに、修復物の形、咬み合せなどをコンピュータ支援のデジタル画像上でデザインし(CAD)、そのデータから切削加工、焼結までをコンピュータ支援で製品化する(CAM)、CAD/CAMシステムも開発していますが、それは主にインプラントを用いた欠損修復をジルコニアで行おうとする症例が適応です。 当院はZirkonzahn社認定の日本の歯科技工士とで協議を重ねて、Zirkonzahn社オリジナルの、口腔内で調整されたモックをアナログ的に読み込んでジルコニアに置き換える方法に改良を加えて、私費のジルコニアによる天然歯修復、インプラント修復を行っています。 左上にこうして咬み合せの高さが挙がったジルコニアブリッジが完成しました。セットすると同時に、右側上下がすいてしまいますから、右上奥歯のブリッジ、犬歯の冠を外して即座に奥から犬歯まで白いレジン製の仮歯を作って右側全体も咬み合せの高さを挙げます。咬み合せが高くなっても、顎を動かした時に左右のバランスが取れた咬み合せ面を仮歯に付与します。 |
![]() |
| 右上の奥歯にレジン製のモックアップブリッジを入れて、咬み合った部分が青く印記される全顎用咬合紙を咬んで頂いて、咬み合せのチェックをしている所です。 | ![]() |
| 前方から見たところ、最初の計画どおりの咬合挙上量が得られていることがわかります。 根の再治療を行った犬歯にはグラスファイバーを主軸に入れた接着レジン支台築造を行っています。 象牙色に見えるのは築造用のレジン。光を当てて重合化学反応を起こさせて固めるタイプではなく、混ぜただけで化学反応が起きるタイプのレジンを使用して、根の中深く歯質と確実に接着してほしい所から重合反応を起こるよう仕向けることが大切です。 |
![]() |
| 右上奥のジルコニアブリッジも完成しました。 これで臼歯部の修復が終わり、前歯部6本の修復に入ります。 |
![]() ![]() |
| メタルボンド(差し歯と呼ばれている被せ物)を外し、コンポジットレジンを詰めていた歯も被せるために形成します。 歯髄を守るため、形成して露出した歯質の表面には、直ちに接着剤をコーティングし、さらに即日、適合の良い仮歯を作ってセットします。 |
![]() |
| 白いプラスチックで6本の仮歯を口腔内で一度に作る場合、便宜上、初めは繋がった状態で作ります。仮でも見違える綺麗さで嬉しい、完成が楽しみとおっしゃいました。 連続した仮歯は、別日に1本ずつにします。その際にの目指す最終修復状態を作りやすいように、土台を削ったり足したりして個々の歯冠形態を調整してから仮歯を修正します。 |
![]() |
| 精密な型取り、咬み合せ取りを行って、できた作業模型(シリコンガム付き)の上で、歯科技工士が上顎6前歯のレジン製のモックアップ単独冠を作りました。 | ![]() |
| モックの単独冠を試適して、見える歯の部分(歯冠部)の大きさ、長さ、バランス、歯冠部歯軸の見かけの向き、咬み合せ運動時の下の歯との接触状態などを調整します。 全体の口元の審美性を高めるために、犬歯の先端の向きをできるだけ内側に倒し、それより前4本も先端はやや内側に向けます。 上の前歯の裏側は下の前歯が前方に出てくる顎運動をガイドする重要な役割をするため、歯の長さを短くしないで内側に向けるためには、前歯部での上下の隙間が相当に必要で、そのために奥歯で決まる咬み合せの高さを挙げたのです。 |
![]() |
| 調整したレジン製モックが、Zirkonzahnのアナログ式MAD/MAMでジルコニアのクラウンに置き換わりました。 | ![]() |
| クラウンの内面です。一定以上に厚みがあり、咬み合せのバランスが良く作られれば、均一に硬い削り出し加工のみで出来たジルコニア冠は、破折の心配はまずありません。 歯と接着させる接着剤が最終的に歯と修復物との隙間を埋めて、細菌が入り込めない封鎖を作ります。そのためには被さるべき歯質を過不足なく覆う適合精度が高いことが必要ですが、全面に全く隙間がないと接着剤の厚みで浮いて付き、咬み合せが狂います。それを避けるために接着剤がある程度たまる空間を冠内面に設けています。 |
![]() |
| 完成した6前を歯質とジルコニアとを接着させる接着システムを用いてセットしました。 下顎前歯部は全く歯質を削らず、変色しにくいコンポジットレジンを盛り上げて色調を合わせました。 内部に古い土台の金属を残した歯が数本ありますが、口腔に露出する部分には金属が全くないメタルフリーの修復になりました。 |
![]() |
| 右側からの側貌観 |
![]() |
| 左側からの側貌観 | ![]() |
アメリカを始め諸外国に行っても日本人として恥ずかしくない、自信を持って歯を見せるスマイルが若々しさと自信を取り戻したと 結果にとても満足して頂けました。
咬み合せを挙げ、咬み合せ形態を完全に作り直していますが、噛む機能には全く影響がなく、とても良く噛めるそうです。
しかし思ってもいなかった影響が発音に出ました。英語のthの発音がしにくく、ネット電話でおこなう国際カンファレンスで困るというのです。これは慣れて頂くしか無いのか、すぐにできる対応策が見つかりませんでした。幸い、1年もしないうちに慣れてこられて、本当に満足して頂ける状態に落ち着きました。
この治療は決して審美だけを追求したものではありません。全顎的なインプラント修復で培った修復手法を、天然歯のみの修復に応用しています。
しかしすでに歯髄が無くなっている歯が多数あります。これらの根の先の骨の中が無菌的である保証はありません。今後、そのような歯の根の先、骨の中で寝かされていたバイオフォルム細菌が活動して骨が溶ける炎症が起これば抜歯して骨を無菌化治癒させない限り、泥沼に入り込む可能性があります。そうした炎症は激しい炎症ではないので痛まない、よほど骨の破壊が進まないかぎり自覚症状がでない点が極めて厄介です。
こうしたトラブルの兆候が現れたならば、骨の破壊が進まないうちに抜歯して、健康な骨をできるだけ沢山残し、骨の自然再生を促してからインプラント体を埋入すれば、非常に楽な埋入処置で済み、インプラントで支えられたZirkonzahnジルコニア冠修復は、神経がない天然歯の修復より遙かに長く持ちます。今後の経過観察が必須です。
| 治療前 | 治療後 |
|---|---|
![]() |
![]() |
※医療従事者の方などに向けて、詳しい経過を掲載しております。
治療の経過写真には一部グロテスクなものもございますので、ご覧になる際はご注意ください。
初診時、もうすぐ80歳になる男性。
下の奥歯が全部無くなって私費で作った入れ歯は思うように噛めず、なにか手立てがないものか、相談に来られました。
| コメント | 画像 |
|---|---|
| 歯周病が相当進んでいるように見られます。本来ならば骨の中、歯肉の下に隠れて見えない歯根が広く露出しています。その根の周囲にぐるりと「むし歯」ができ、プラスチック(コンポジットレジン)が詰まっています。下の残っている歯はすべてぐらぐらで、それに突き上げを食らう上の前歯は前に飛び出しています。 | ![]() |
下の歯はすべて持たない、抜歯すべき、下が無くなれば上の歯はしばらく持つかもしれないとお話しました。抜歯前に、型と咬み合せを採り、下は総入れ歯、上は奥歯に部分入れ歯を作ってから、抜歯してすぐに入れ歯を装着しました。何度も調整に来て頂くうちに、だんだん上の部分入れ歯には慣れ、上の前歯が落ち着いてきました。下の総入れ歯が辛く、なじめません。これを根本的に改善できれば自信が回復できそうに思えると言われました。
そこで、ご高齢なので体への負担の軽減と確実性を最優先に考えて、いわゆる「All on 4」の改良版を、即時負荷しない流れで行う計画を立てました。
歯が全部駄目になって「入れ歯」で修復しても思うように噛めない、しゃべれない、など、いろいろなことを諦めかけた方にとって、正しいインプラント治療は失った人生を取り戻す効果が得られることが分かってきましたが、いかに骨造成など外科的侵襲の大きい処置を避けて、てっとり早く効果を得るかを求められるようになり、考案されたのが、少なくとも4本のインプラント体の上にすべてのせて固定式にする「All on 4」です。
インプラント体を埋入した日、遅くとも翌日までに仮の上部構造体までセットして噛ませる流れを即時負荷と呼びます。インプラント体を埋めこまれた骨は壊されます。その骨に代わって新たに再生した骨がインプラント体を異物と見なさず、その後も常に古い骨が新しい骨に置き換わる生きた骨に囲まれ続けることが骨結合です。骨結合を得るまでは、埋入されたインプラント体に過重をかけてはならないのは基本です。ところが、広く分散配置した複数のインプラント体を強固に(高いトルクで)骨に締め付けた埋入をし、外力がうまく相殺されるように互いに強固につなぎ止めても骨結合が得られる成功例が多く報告されて、いかに即時荷重で骨結合を得るかがブームになりました。
顎と最終的な修復形態を模した仮の修復物とをCT撮影し、それらの画像データを専用ソフトウェアによって融合し、パソコン画面上に写る仮想顎骨、仮想修復物を見ながら仮想インプラントの種類を決め、どの位置にどの角度でどの深さに埋入するか計画、その計画データを電子メールで送って専用工場で作られる埋入用ガイドと、たわまず折れないよう金属補強した仮の上部構造体とを用意し、埋入用ガイドに従って計画どおりに埋入して仮の上部構造体で固定するシステムができれば、即時負荷できる可能性が高まります。
このCT画像のバーチャルデータを頼りに即時負荷を容易にするとされる治療支援システムにノーベルガイド(現、ノーベルクリニシャン)があります。そのシステムの使用経験から、上手く行けば治療期間が大幅に短縮、身体的負担も少ないが、仮想と現実のズレを甘く考え、実際の骨に入った状態を確認しないで上手く行くような好条件は希、上手く行かなければ、リカバリーのために、かえって治療期間が長引き、身体的負担が大きいことが分かっていました。
| そこであえて無用なCT撮影は行わず、触れて顎骨形態の特徴を細かく把握し、通常の石膏模型、通常のレントゲン画像を参考に、総入れ歯を透明レジンに置き換えて複製したものを石膏模型上で改造、ガイドのずれを止める固定用アンカーピンはノーベルガイドのものを利用する写真のようなインプラント埋入用自家製ガイドを作りました。 | ![]() |
| 骨面を目視できる最小限切開を行い、自家製ガイドをアンカーピンで固定し、それをガイドにインプラント埋入窩を形成しています。 ガイドは初めのうちだけ使用、オリエンテーションがついたら外して、あとはフリーハンドで術野を確認しながら適切な埋入窩を形成、インプラント体を超低速回転で埋入していきます。埋入方向や深度は直視してコントロールし、インプラント体側面がすべて骨の中に入っている状態を作ります。 |
![]() |
| 4本の長いブローネマルクインプラントを埋入、縫合した直後の状態です。 骨が軟らかく、上の歯が咬みこんで起こる微小動揺によって、互いに強固のつなぎ止めても、全体がゆさぶられるて骨結合しないリスクが高いと判断、即時負荷は避けました。 切開縫合した創が閉じて、しっかりした粘膜で覆われるまでの期間、入れ歯の底を削って軟らかい裏打ち材料(ティッシューコンディショナー)を貼り、硬くなってきたら貼り替えます。 |
![]() |
| それでも傷が開くことがあるので出来るだけ入れ歯は使わないようにして頂きました。 下の総入れ歯は、どのみちまともに噛めないから、外したままでも大して変わらないと理解して頂けました。こうした状況で2か月間過ごして頂きました。 自宅での食事指導、治癒を助けるアミノ酸配合の栄養補助剤も併用しました。 |
![]() |
| 埋入したインプラント体の頭出しをすると、しっかり骨結合していました。マルチユニットアバットメントと呼ぶ既製のネジ止め固定用中間構造体を取り付けます。4カ所ともストレート(まっすぐ)マルチユニットアバットメントを取り付けています。 | ![]() |
「All on 4」原法では、意図的に斜め埋入する両側の奥のインプラント体には傾斜の角度補正をする角度付きマルチユニットアバットメントを用いてネジを回す操作が難しくならないようにします。そのかわりに最後臼歯より1歯手前までの修復になります。
4カ所ともストレート(まっすぐ)のマルチユニットアバットメントを用いると、奥はより奥にネジ穴が斜めにできて操作しにくいですが、最後臼歯まで修復可能になります。一番奥の臼歯まで修復できれば、上下が広い面積で咬み合わさることになり、上の入れ歯が安定します。また力が分散され、上の奥の入れ歯を支える土手が痩せにくくなります。
| しばらくは仮の上部構造(金属補強した入れ歯)をマルチユニットアバットメントで支えさせます。 これだけで画期的に噛め、浮く、ズレる、痛い入れ歯との違いの大きさに信じられないご様子でした。 仮歯で上下の咬み合せのバランスを細かく整えていき、上の前歯が下から突き上げられることがなく奥歯がしっかり咬み合う状態を誘導、その状態を移し込んだ新しい上部構造体を作製します。 |
![]() |
| 綺麗な新しい上部構造体が入りました。 | ![]() |
| 5年後のメインテナンス時の状態です。上の前歯6本は初診時のまま残りました。上の保険の入れ歯を何度か裏打ちして、奥歯の噛み合わせの高さが低くならないように、下の前歯に突き上げられないようにしていることが、上の前歯が守れている最大の要因です。 残る歯の「むし歯」と「歯周病」の定期チェックしています。5年の間にコンポジットレジン修復を何度かやり直し、歯周外科的な治療も行っています。これらは保険診療です。 |
![]() |
| インプラントに関してのメインテナンスはすべて私費になります。 メインテナンスのためにマルチユニットアバットメントまで外した上部構造体の全パーツです。 |
![]() |
| 上部構造体、マルチユニットアバットメントなどすべてのパーツを外して見えるのは埋まっているブローネマルクインプラントの頭の部分です。見えている、つまり、外界である口腔に露出しているのは頭の部分だけです。頭の下を取り囲む歯肉は周囲粘膜と同じ綺麗なピンク色で、隙間無くインプラント体にくっついています。 インプラントは骨結合するだけでは不十分です。粘膜とも結合して上皮の連続性を保つことができるこのような状態を作って維持することがインプラント治療の長期予後を確実なものにします。 |
![]() |
日本で使用できるインプラントシステムは多々ありますが、このような粘膜結合まで導け、高さや角度にバリエーションが豊富なマルチユニットアバットメントと呼ばれる既製アバットメントを介してネジ止め固定できるシステムはノーベルバイオケア社しかありません。
上部構造体をすべてネジで止める構造では、人工歯冠と人工歯肉の材質にもよりますが、ここまで外すメインテナンスは数年に一度で良いかもしれません。その際には、内部を洗浄消毒し、ミクロ閉鎖用に殺菌性シリコングリースを注入してネジで再固定します。
ネジの緩みのチェックはもっと頻回に行うべきです。噛めれば噛めるほどネジは緩みやすく、緩むとそこの上部構造体が浮き上がります。浮き上がって出来るアバットとインプラント体や上部構造体との隙間が菌の繁殖する場になります。その菌が原因で粘膜貫通部の封鎖を破壊すると、さらにいろいろな菌が口腔から進入して、インプラント体と骨との境界を破壊する炎症が起こります。本来ならば骨に抱かれて外界から隔離され続け、無菌性が保たれるべきインプラント体の側面が汚染されれば骨からは完全に異物と見なされます。骨結合は維持できず骨は吸収してしまいます。
こうしたインプラント周囲炎に発展させさいためには粘膜結合もするインプラント体を用いて確実な粘膜封鎖を得て維持させる治療技術だけでなく、アフターケアの中で粘膜結合を破壊する何かが起きていないか、早期に兆候を発見し、原因を探して適切に処置することが大切です。インプラント周囲炎も歯周病や歯髄を失った歯のむし歯の進行と同様、自覚症状がないまま徹底的に骨が破壊されます。
ネジが緩んで浮き上がった上部構造体に咬む力が収集して、固定のためのスクリューや、上部構造の一部が破折するトラブルも起こりやすくなります。
| 7年後の状態です。歯肉から立ち上がる4つのストレートのマルチユニットアバットメントに支えられた上部構造体の状況が見て取れます。 粘膜貫通部の歯肉はとても綺麗で、歯肉が下がってインプラント体側面のスレッドが露出するインプラント周囲炎は起きていません。 この程度の隙間があるほうが唾液が回り、空気にも触れやすく、インプラント周囲炎を起こす歯周病菌が繁殖しにくい環境になります。下顎はこれがよいですが、上顎では隙間があると息が漏れて発音しにくい、歯肉が良く見える方では審美的改善に問題が残るなど下顎より難しい点が多々あります。 |
![]() |
すべてネジで固定するためには高い適合精度が要求され、その精度を出すことはインプラントの数が増えるほど難しくなります。仮の上部構造体で機能的、審美的に最善と思われる咬み合せを見つけていき、その情報を盛り込みながら適合精度の高い最終上部構造体を作る修復過程は、インプラント外科とは違った難しさがあり、たいへんな手間暇がかかります。
機能や審美を改善するのはインプラント体そのものでは無く上部構造体です。それがどう作れるか、修復部分で起こる限界まで分かって、目的に合致した位置、方向、深さにインプラント体を正しく埋入する外科技術が必要です。外科部分は大切ですが、口腔外科がどんなにできても修復部分がお粗末では良い結果が得られないのがインプラントです。
| 治療前 | 治療後 |
|---|---|
![]() |
![]() |
※医療従事者の方などに向けて、詳しい経過を掲載しております。
治療の経過写真には一部グロテスクなものもございますので、ご覧になる際はご注意ください。
20年ほど前に口蓋中央を開放した金属床の「入れ歯」コーヌスクローネン義歯を入れていただいた70代半ばの女性。
右上3本は持っていますが、根面板がかぶさる前の2歯、左のコーヌス内冠がかぶさる奥歯は、内部の「むし歯」が進み、持たなくなりました。噛めていた「入れ歯」の左側が噛むと沈み込んで、しっかり噛めません。
右の3本の歯にも引く抜かれるような負担がかかり、怖くて噛めないと訴えらえました。
| コメント | 画像 |
|---|---|
| 上顎の残っている歯すべてに金属製の内冠または沈下を抑える根面板を被せています。 | ![]() |
| 外冠が付いている「入れ歯」は味覚を落とさないよう、口蓋を中抜きした金属床です。 | ![]() |
すべての内冠の側面は、決められた主軸(取り外しの方向)から見て6度~8度内のテーパー(先細り)を持つよう精密旋盤加工します。それから個々の内冠に精密に適合する外冠を作ります。外冠の金属が眼に触れる部分は、金属色を遮蔽して白く見せる前層処理をします。外冠は内冠にピッタリはまり、簡単には外れない精度が必要です。内冠を歯に、外冠を「入れ歯」に取り付ければ、クラスプと呼ばれる留め具式の「入れ歯」より揺れが少なく、しっかり噛め、審美的にも優れた「入れ歯」になります。
このようなテーパーを付けた2重冠構造の維持装置を持つ入れ歯は、1960年代ドイツで開発され、コーヌスクローネン義歯と呼びます。ドイツ語のKonusは円錐、Kronenは冠の複数形です。この2重冠を英語圏ではGerman crownと呼んでいます。
残っている歯を大量に切削し、ほとんどの場合歯髄を取り、歯と冠との間に不適合な隙間が出来る運命にある鋳造法で内冠を作るコーヌスクローネを天然歯に適応する修復治療は、修復に重きを置きすぎて歯を駄目にする原因を作る従来型歯科の典型です。残るべき天然歯を残すインプラント治療が出来るようになった現在では避けるべきでしょう。
2重冠技術が広まるドイツでは、内外冠の緩みが避けらず、緩むと対応が難しい欠点も重視して、現在では主に以下の2つの場合は限って適応されているようです。
そのようなコーヌスクローネン義歯を維持していた歯の一部が駄目になり噛める「入れ歯」が使えなくなりました。右上のまだ残るべき3歯を残したい、とてもまともには噛めず、残っている歯をいじめて失わせる「入れ歯」になって、負の連鎖に落ち込みことを防ぎたい、この目的のためにインプラント修復を行いました。
CT画像解析、手術支援ソフトのノーベルカイドを使い始めた時期で、ほとんど切開しないインプラント埋入と、その日のうちに仮歯まで入れる即時負荷を行ったものです。
最終目標とする修復物の外形を盛り込んだ撮影用義歯をはめて咬んだ状態、外した撮影用義歯そのものの2つを医科放射線科に依頼してCT撮影します。データ(DICOMデータ)をノーベルガイド(現:ノーベルクリニシャン)というソフトで解析します。
ソフト上で仮想インプラント体を仮想顎骨内に埋め込む仮想手術を行い、埋入した仮想インプラント体に繋げる固定用テンポラリーシリンダーが仮想上部構造体(撮影用義歯に盛り込まれた修復すべき歯の部分)とどのような位置関係になるか、シミュレーションします。
OKと判断した埋入計画データを電子メールでノーベルバイオケア本社に送ると、計画データに合わせたインプラント体埋入支援外科用ガイドが製作され、送られてきます。
この外科用ガイドと患者さんの顎堤を写した石膏模型とを、ノーベルガイドシステムを理解している歯科技工士に渡せば、インプラント体と同じ頭の構造をした技工用疑似インプラントを埋め込み、人工歯肉もつけて、計画どおり埋入できた直後の状態を予測した模型と、さらにその上に取り付ける仮の上部構造体まで、埋入処置を行う前に準備しておくことができます。
| 予測模型上の白いレジンに太い金属補強体が入った仮の上部構造体。模型に埋め疑似インプラント体に取り付けられた固定用テンポラリーシリンダーが見えます。 口腔内での位置決め固定を安定させるために、すぐに切断できる口蓋部分が付いています。 |
![]() |
| 外科用ガイドを使用してインプラント体埋入が計画どおり完了しました。歯肉はパンチアウトしただけです。無切開と紹介している場合がありますが、それは間違いです。 インプラント体がすべて骨に包まれた状態で埋入されていることが大事です。こうした粘膜骨膜弁(フラップ)を剥離しないフラップレスでは埋入状態を目視確認できません。 それで実際にはこのあと、インプラント間を繋いた切開と最小限の剥離をして埋入状態を確認、骨から半分出ている右から2番目は外して、埋入窩形成(形成時の骨を吸引トラップ採取)、再埋入、周囲から骨を採取してトラップ骨とともに裂開部を塞ぎました。 |
![]() |
| 準備していた仮の上部構造体を想定した位置決め部位に固定します。 |
![]() |
| インプラント体にはテンポラリーシリンダーをネジで取り付けます。仮の上部構造体の人工歯部分とテンポラリーシリンダーとの間に、混ぜるとすぐに固まる白いレジンを流して固めます。位置決め用の口蓋を繋ぐ3カ所を切断して仮の上部構造体セットが終わりました。 右上の3本のコーヌスクローネ内冠に合う仮ブリッジ、後で抜歯する予定の左上一番奥の歯の内冠に合う仮歯も即日作って、すべてをレジンで固定しています。 |
![]() |
このケースではノーベルガイドでシミュレーションした計画に近いインプラント体埋入ができました。実際には一本は修正が必要でしたが、それも最小限の剥離でできました。それは骨の量、特に幅が十分にあったからです。このように骨幅があるのは希で、長い年月、入れ歯を入れていた場合、骨の幅も高さも失われているほうが圧倒的に多いのが現実です。
バーチャルと実際とはズレがあります。そのズレを許容するだけの余裕がある場合でないとこのようなフラップレス、即時負荷は無謀、ズレて埋入された場合、それに気づき、必要なリカバリーが出来、場合によっては即時負荷しないなど判断が重要です。
埋めたインプラント体と骨とが結合するまでに数ヶ月かかります。
その間は、噛む時にこの仮の上部構造体にかかる力によって、インプラント体が横揺れしないよう、咬み合せのバランスをとても厳密に取らなければなりません。
幸い4本の長いインプラント体を馬蹄形にほぼ均等配置でき、仮の構造物をすべてレジンでつなげて咬合力を分散させて横揺れが起こりにくい状態を保つことができたので、埋入して4か月待つとインプラント体が骨結合していました。左上一番奥の歯は抜歯しました。
さらに1か月待ってから型取り、咬み合せ取りをしました。
右上は、今までの入れ歯に付いていた外冠(4本のブリッジ構造)を切断して入れ歯から外して再利用します。この外冠で決まる咬み合せの高さを、インプラントの上に作る上部構造体、ネジ止め固定式インプラントブリッジにも付与します。
| 咬み合せ記録は、仮着に使う赤いパターンレジンで仮着と同時に採りました。 当時は、CAD/CAM技術も、ジルコニアのように金属並みの強度を持つセラミック素材で大型ブリッジを作る技術もまだありませんでした。高温で金属を溶かし、ワックスで作った歯型を埋め込んだ鋳型のワックスを蒸発させた隙間に鋳込むロストワックス鋳造法があるだけです。 従来からあるこの方法は、冷えて固まる際の収縮が大きく、数カ所の支台(この症例ではインプラント体に付けたアバットメント)のすべてに精密に適合する長い大型ブリッジを一気に作ることができません。一つ一つの支台に適合する短い部分を作り、口の中の支台にすべて止めてパターンレジンで仮着します。これを一塊に取り出して、口蓋側に付与した固定用突起を含めてロー着用埋没剤に埋めます。 パターンレジンを蒸散させてできる隙間にロー着用金属を高温で溶して流すロー着操作を行い、冷えてから突起を切断すると、鋳造収縮による誤差が補正された長い大型ブリッジの金属骨格が完成します。 |
![]() |
| パターンレジンで仮着した状態を前から見たところです。右上奥は以前の入れ歯から外した外冠のブリッジをはめています。 | ![]() |
| 金属骨格に硬質レジンとよぶプラスチック材料を盛り上げて歯の形と色とを再現します。 これらは歯科技工士が行う作業ですが、修復治療を行う歯科医師は、その作業工程を良く理解していることが肝要です。歯科技工士に適切な指示を与え、途中で患者さんの口腔内でのチェックが必要な場合には、そのステップを踏んで、外で作られる物が、口腔に入れても機能と審美の回復を間違いなく行えるものになるかどうか確認するのは歯科医師です。 そうして最終的な上部構造体が完成しました。 8本欠損を4カ所のインプラントで支えるネジ止め固定式インプラントブリッジです。 二枚目の写真は、完成した上部構造体を粘膜面から見たところです。 |
![]() ![]() |
| 左上の3つは内冠が被さった歯、右上から左上前にかけては4つのインプラントに取り付けたマルチユニットアバットメント(最前の1つは角度付き)が見えます。 | ![]() |
| 内冠部分に外冠ブリッジをはめ込み、インプラント部分に上部構造体をネジ止め固定した状態です。口蓋は完全に開放され、もはや入れ歯ではなくなりました。 | ![]() |
| 前方から見たところです。 | ![]() |
右下奥歯2本はもっと以前に失い、インプラント修復しています。その効果の大きさを経験してご理解なさっていたことから、上の欠損修復もインプラント治療を提案し、是非お願いしたいとのことでこの治療になりました。大変満足され、以後、残した上顎の歯は今も持っています。インプラント治療した部位は上も下も何も問題がありません。
| 治療前 | 治療後 |
|---|---|
![]() |
![]() |
※医療従事者の方などに向けて、詳しい経過を掲載しております。
治療の経過写真には一部グロテスクなものもございますので、ご覧になる際はご注意ください。
70代始めの男性。15年以上前に上の両側奥歯をすべて失い、上あごの中央をくり抜いた私費の金属床を入れて頂いていました。下は7~8年前に左右1本ずつ奥歯が欠損し単独歯インプラントで修復しています。
下の一番奥、第2大臼歯は、若い頃、斜めに生えた親不知(おやしらず、第3大臼歯)を抜歯する際に同時に抜かれたそうです。
| コメント | 画像 |
|---|---|
| 上の前歯が折れ、入れ歯はガタガタして思うように噛めません。 残っている上の前歯は下の前歯に下から斜め前方向に突き上げられるため、どれも長くは持ちません。 |
![]() |
| すべて抜歯して無歯顎になった状態を想定して、保険のプラスチック(レジン)の総入れ歯を前もって作り、抜歯してすぐに装着しました。上あごを全部覆うため気持ち悪く、味覚も落ちます。 以前の入れ歯のように真ん中を抜いた入れ歯を希望されましたが、支えに使う歯がない入れ歯の支持は吸着が頼りです。土手を出来るだけ広く覆い、全周の辺縁が土手の粘膜に隙間無く閉鎖され、真ん中は土手との間にわずかな隙間を設けて、吸盤のように陰圧が保たれれば吸い付く仕組みです。中央をくり抜くと吸着しません。 |
![]() |
そこでインプラントによる上顎全顎の固定式フルブリッジをご提案し、了解を得ました。
4本のインプラント体でフルブリッジを支えるAll on 4は上顎では危険です。前方に突き出る前歯部分が下から斜め上へ突き上げられ、引き抜かれる力が働きます。咬む力を下顎よりも広い面積で受けるため、全体を安定させるには、少なくとも6本のインプラント体が必要です。All on 6 にして前後に長い馬蹄形の上部構造体を支えるのが安全です。
歯科治療のため撮影したオルソパントモレントゲン像で、後方の上顎結節部に長いインプラント体を埋入できる骨が有り、サイナスリフトを避けることができると判断、CT撮影して、画像データの解析、バーチャルなシミュレーション埋入手術から埋入外科用ガイドと、そのガイドからあらかじめ仮の上部構造体を作製、埋入してすぐに仮の上部構造体を装着する「ノーベルガイド」システムによる即時負荷を計画しました。
埋入外科用ガイドは、ガイドスリーブに適合する直径2mmのドリルスリーブを着けてのドリリングから、ドリルスリーブを交換して段階的に太いドリルで骨に埋入窩を掘り、ガイドスリーブに適合するマウントに付けたインプラント体を埋入することで、メスによる切開と縫合なしにシミュレーション計画どおりの埋入が行えるとするものです。
このガイドを最初の直径2mmのドリルで予定の方向と深さとされる所まで掘るためだけに使いました。その後はガイドを外して、小さな切開を加え、インプラント体が入っていく骨面の状態を目視確認します。埋入窩の方向性や深さは、深さ確認ゲージや、ドリル単体を差し込んで小まめにチェック、手に伝わってくる感触で骨の硬さを見極め、拡大しすぎないよう控えめに、軟らかい骨は押し広げてコンデンスしながら拡大する器具を用いて慎重に埋入窩を形成します。
ちょっとした歯の治療でも怖いのに、そんな外科処置、怖くて耐えられない、そういう方でも点滴を取って鎮静法を併用すれば不安を感じずに処置を受けられます。点滴を取って静脈ルートからドルミカム(ミダゾラム)というお薬を投与、この薬が効いている間にガイドの装着から最初のドリリングまでの記憶が残らないよう鎮静をコントロールします。深く鎮静して寝入ってしまうと、大きな口を開けていただく協力が得られません。口の奥に長いインプラント体を微妙なさじ加減で埋入するのは、大きな口を開けていただけないと不可能です。ガイドをはめ、それを通して長いインプラントを埋入しようとすると、気道を塞ぐ危険性も高いのです。ガイドは最初の埋入窩形成だけに使い、あとは外して、必要があれば方向性の再確認用にだけ使うのが安全確実です。
埋入窩を形成したら、セルフタップ効果があるノーベルバイオケア社のブローネマルクSpeedyインプラントを慎重に埋入します。インプラント体の側面がすべて骨の中に入りきって、高い埋入トルクで初期固定させます。切開部を縫合しながら、歯肉の厚さよりわずかに長いストレートのマルチユニットアバットメントをインプラント体の頭にネジ止めします。
| こうして埋入した6本のSpeedy インプラントにストレートのマルチユニットアバットメントを付けた状態です。 この写真は縫合部が治癒し、組織外に残る糸を取った時の写真。 |
![]() |
術前から用意した仮の上部構造体をマルチユニットアバットメントにネジで留めるチタン合金製のテンポラリーシリンダーを介して取り付けます。咬み合せの調整を入念に行い、どこかにインプラント体に咬む力が集中しないよう、仮の上部構造体に下顎の歯が均等に当たるように口腔内で咬み合せの調節を行います。
外科に慣れていても、即時負荷ではこのように仮の上部構造体を付けて繊細な咬み合せの調整を行う修復段階に相当な手間と時間がかかります。付与された咬み合せと口の中の咬み合せの誤差が少なく、シリンダーが通る穴の遊びが頃合いに有る仮の上部構造体が必要です。これは歯科技工士の理解度と腕にも左右されます。
| 1度にインプラント体6本を埋入して仮の上部構造体まで装着したところです。 | ![]() |
| そのオルソパントモレントゲン像です。 順調にいけば、およそ4か月でインプラント体が骨と結合します。仮の上部構造体で分かった注意点、改善点を盛り込み、よりしっかりした材質で機能的にも審美的にも満足のいく最終上部構造体を作り直す、これが大型のインプラント修復の標準治療の流れです。 |
![]() |
2か月ほど経過して、右上の鼻の脇にある鈍い痛みを訴え始めました。しばらく様子を見ても改善しません。そのほかの部位は全く問題ありません。
| 痛みを訴えている右上犬歯部に傾斜埋入したインプラント体のレントゲン像。 | ![]() |
| インプラント体周囲の骨に陰が見られることから、上部構造体を外して確認することにしました。 インプラント体に付けたマルチユニットアバットメントの周囲に出血が見られます。粘膜とインプラント体とが結合していない証拠です。 |
![]() |
| マルチユニットアバットメントを揺らすと揺れます。麻酔をしてマルチユニットアバットメントを外そうと逆回転させるとインプラント体ごと抜けてきました。 粘膜結合も骨結合も得られていません。鈍い痛みの原因が粘膜貫通部からインプラント体と骨との間に菌が入り込んだ感染により骨が炎症を起こしていると確定しました。 |
![]() |
こうなるとインプラント体全体が汚染された、骨も粘膜もだますことは出来ない完全な異物、感染源です。できるだけ早くインプラント体を撤去しなければ、炎症によって骨の破壊、骨髄炎が進んでしまいます。インプラン体を除去するだけでなく、すでに感染した骨も除去しなければなりません。どこまでが除去すべき感染骨で、どこからは残しておくべき健全骨なのかの見極めは、顎骨骨髄炎の治療経験が豊富な口腔外科医でも難しい場合があります。
このケースでは、除去してできた骨の穴の中を、鋭利な手用器具で掻き取り、さらに生理食塩水で冷却洗浄しながらSono-surgeryチップの微細振動で、新鮮な血液が出血してくるまで骨面を切削、感染骨と健全骨との見極めは容易でした。
| 掻き取って簡単に取れてきた組織です。 中央の袋状の物は、抜歯や歯周外科の際にも見られ、歯科では慣用的に「不良肉芽」と呼んでいます。肉芽とは新生血管や新しい結合組織の集合です。「不良肉芽」は正しくは「肉芽様に見える不良上皮」です。これを取っただけでは感染制御は不十分です。 菌に乗っ取られた骨を取り、それでも残る可能性がある菌を健全な骨が吐き出せる環境を作ることが大切です。そうすれば、健全な新生肉芽に裏打ちされた粘膜と骨膜によって創は自然に閉じ、残っている健全骨の頂点を結ぶ面まで骨も自然再生します。 |
![]() |
同じ場所に同じ方向に新しいインプラント体を再埋入できる骨が自然再生してくるには時間がかかります。再生にかかる時間を早められる方法を探して見つけたのが、フランスの医師が開発した、静脈血を遠心分離してLeucocyte-PRF(白血球leucocyte 分画を含む血小板が豊富なフィブリン分画Platelet Rich Fibrin)を得るシステムです。
骨改造に必要な血管新生を促す作用を期待してL-PRFを新鮮出血する穴の中に入れ、穴から出ないよう、ナイロン糸を「たすき掛け」縫合して開放創にしました。
| 原因は仮の上部構造体のレジン部分の破折でした。口蓋側だけに入れた金属補強では強度不足だったようです。 | ![]() |
| 外側からも補強するCo-Cr(コバルト-クロム合金)鋳造体を技工士に製作してもらって埋め込みました。 | ![]() |
| しばらくはこのような5点で支える状態なります。 5カ所で支えている間は、たわんで破折する、一部のインプラント体に過剰な力が集中するなど、避けるべき事があります。腰のあるものを咬まないようお願いしました。 |
![]() |
| 骨の無菌的再生治癒を待っている期間のオルソパントモレントゲン像です。 | ![]() |
| 5か月待って再埋入可能と判断、全くドリリングせずにインプラント体が持つセルフタップ機能だけで新しいインプラント体を埋入しました。 仮の上部構造体にはつなげず、粘膜骨膜の下に埋め込む2回法にしました。 剥離した粘膜骨膜の下に見えているのは、インプラント体内部に設置されているネジ穴を塞ぐために頭部に付けたカバースクリューです。 |
![]() |
| カバースクリューの上から粘膜骨膜を縫合して閉鎖創にします。 | ![]() |
| 縫合部が治癒したところです。 再埋入したインプラント体が再生途上の骨と結合し、正常な骨代謝回転が営まれ続けるまでさらに4か月置きました。 |
![]() |
| 今度は骨結合が得られました。埋まっているインプラント体の頭の直上を小切開して頭を出します。カバースクリューを外して、チタンテンポラリーシリンダーをネジ止めします。 | ![]() |
| 仮の上部構造体にテンポラリーシリンダーが通る穴を開けます。 | ![]() |
| 全顎用咬合紙を咬んで頂くと、右上の犬歯から小臼歯あたりが青く印記されることから、破折したこのあたりで強く咬みこむ癖があることが分かります。 | ![]() |
これは最後まで残っていたご自分の上下の歯の咬み合せ部分に一致しています。
インプラント治療を受ける前、入れ歯を使って噛んでいた間の噛み方は、まず、しっかり噛める右の犬歯部分で噛みきり、すりつぶせるまでに砕いてから、すりつぶしに入れ歯を補助的に使うものだったのでしょう。
まず右の犬歯部に食べ物を持って行って思い切り噛むという癖は、自分の歯(天然歯根)がなくなり、代わりにその顎の骨の中にインプラント体(人工歯根)を入れ、仮の上部構造体を均等に咬合調整したつもりでも、そう簡単に治るものではありません。
噛むために顎を動かす筋肉とその支配神経の記憶を消去し、新しく付与した咬み合せに適したものに再構成させるまでには時間がかかります。
まだ噛める部位が最近まで残っていた、その部位を抜歯して全顎的なインプラント修復を行う際には、残っている部位で咬む癖が消えて、神経と筋肉の再構成がほぼ完了するまで、最終上部構造体の作製に進まず、仮の上部構造体にしておくべきかもしれません。
その頃にはインプラントを通して骨に伝わる感覚が、咬んでいる感覚になります。
| やっと当初目指していた6カ所が安定し、どこでも思い切り噛める状態になりました。 患者さんは注意を良く守ってくださり、5本の期間中も不自由は感じておられません。もしも4本で同じことが起きたなら、仮の上部構造体を3本で支えることは不可能で、取り外し式入れ歯で過ごすしかあせん。 入れ歯は沈下して骨を上から圧迫するため、再埋入に必要な十分量の骨が再生せず、治療はもっと複雑化、長期化します。 |
![]() |
| 最終上部構造体を作るための作業用模型には、歯肉の上に出る6カ所のマルチユニットアバットメントの位置関係が精密に写し取られていなければなりません。 そのためにまず金属を鋳造して作った印象用(型取り用)ジグに、マルチユニットアバットメントにネジ止めしたコーピングをレジン(赤色)で強固に固定します。 この全体を包むように精密な型取り用のシリコン印象材を個人トレーに盛って、顎堤歯肉部分の全体を型どりします。ネジを緩めて型を外します。 こうした型取りがアバットメントレベルの印象(型取り)です。 |
![]() |
| アバットメントレベルの印象から、本物のマルチユニットアバットメントと接合部だけが同じ形をした技工用疑似アバットメントが埋め込まれた作業用模型を作ります。 その模型上に出た疑似アバットメントに仮の所湯部構造体がすっぽりはまればOKですが、どこかに隙間があれば印象がズレていたことになります。再度、ジグを使って口の中で位置決め固定して抜いてきます。 作業用模型に埋め込まれたズレがある部分の疑似アバットメントを外して、ズレのない部分でジグを固定、外した疑似アバットを模型に埋め直します。 |
![]() |
| 歯科技工士は6カ所のアバットメントに隙間なく、ズレがない正確にフィットする最終上部構造体の金属骨格を作り、その上に強度も審美性もある硬質レジンで個々の歯の形態を作ります。 | ![]() |
| 疑似アバットメントの位置修正をしたために、粘膜形態を再現すべき作業模型の形が不正確になっています。 それを補償するために、作製途上に最終上部構造体を使って粘膜形態の型を採ります。 黄色いのは型取り用のシリコン印象材です。 |
![]() |
| 作業模型に戻して黄色いシリコン印象材と模型との隙間にピンク色のシリコン歯肉材を流し込みます。 | ![]() |
| 完成した最終上部構造体です。 | ![]() |
| セットした口腔内、咬合の安定をはかるため、右下のインプラントの上部構造体をZirkonzahnのジルコニアネジ止め固定に交換、天然歯のCR充填をやり直しています。 もう今後悪くなる歯がありません。メインテナンスだけに通っていただくだけです。 何でも思い切り良く咬めて、おいしく、しゃべるのも自然で、大満足です。 |
![]() |
| 最近のメインテナンス、経過観察時のレントゲン画像です。 | ![]() |
| 月 | 火 | 水 | 木 | 金 | 土 | 日 | |
|---|---|---|---|---|---|---|---|
| 午前診療 (9:30∼12:00) |
● | ● | ● | × | ● | ● | × |
午後診療 |
● | ● | ● | × | ● | ● | × |

山下歯科医院
〒236-0052
神奈川県 横浜市 金沢区富岡西2-25−3
京急本線 京急富岡駅 徒歩10分
TEL. 045-773-7338













